HIP REPLACEMENT

A hip replacement is a common type of surgery where a damaged hip joint is replaced with an artificial one (known as a prosthesis).

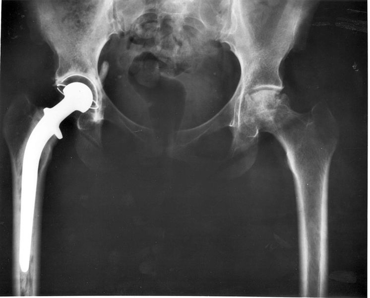
hip replacement Chhabra Hospital

The hips

The hip joint is one of the largest joints in the human body and is what is known as a "ball and socket joint".

In a healthy hip joint, the bones are connected to each other with bands of tissue known as ligaments. These ligaments are lubricated with fluid to reduce friction.

Joints are also surrounded by a type of tissue called cartilage that is designed to help support the joints and prevent bones from rubbing against each other.

The main purpose of the hip joints is to support the upper body when a person is standing, walking and running, and to help with certain movements, such as bending and stretching.

Why do I need a hip replacement?

It might be necessary for you to have a hip replacement if one (or both) of your hip joints becomes damaged and causes you persistent pain or problems with everyday activities such as walking, driving and getting dressed.

Some common reasons why a hip joint can become damaged include:

  1. osteoarthritis – so-called "wear and tear arthritis", where the cartilage inside a hip joint becomes worn away, leading to the bones rubbing against each other
  2. rheumatoid arthritis – this is caused by the immune system (the body’s defence against infection) mistakenly attacking the lining of the joint, resulting in pain and stiffness
  3. hip fracture – if a hip joint becomes severely damaged during a fall or similar accident it may be necessary to replace it

Many of the conditions treated with a hip replacement are age-related so hip replacements are usually carried out in older adults aged between 60 and 80.

However, a hip replacement may occasionally be performed in younger people.

The purpose of a new hip joint is to:

  1. relieve pain
  2. improve the function of your hip
  3. improve your ability to move around
  4. improve your quality of life

What happens during hip replacement surgery?

hip replacement Chhabra Hospital

A hip replacement can be carried out under a general anaesthetic(where you are asleep during the procedure) or an epidural (where the lower body is numbed).

The surgeon makes an incision into the hip, removes the damaged hip joint and then replaces it with an artificial joint that is a metal alloy or, in some cases, ceramic.

The surgery usually takes around 60-90 minutes to complete.

Read more about how a hip replacement is performed.

Recovering from hip replacement surgery

For the first four to six weeks after the operation you will need a walking aid, such as crutches, to help support you.

You may also be enrolled on an exercise programme that is designed to help you regain and then improve the use of your new hip joint.

Most people are able to resume normal activities within two to three months but it can take up to a year before you experience the full benefits of your new hip.

What to expect after a hip replacement

Since its introduction in the 1960s, hip replacement surgery has proved to be one of the most effective types of surgery in modern medical history. Most people experience a significant reduction in pain and, to a lesser extent, improvement in their range of movement.

However, it is important to have realistic expectations about what the operation can achieve. For example, you should be able to ride a bike but it is unlikely that you would be able to play a game of rugby safely (although, as with most things, there are always exceptions to this rule).

The rehabilitation process after surgery can be a demanding time and requires commitment.

Risks of hip replacement surgery

Complications of a hip replacement can include:

  1. hip dislocation
  2. infection at the site of the surgery
  3. injuries to the blood vessels or nerves
  4. a fracture
  5. differences in leg length

However, the risk of serious complications is low – estimated to be less than 1 in a 100.

A modern artificial hip joint is designed to last for at least 15 years, but there is always the risk that the artificial hip joint can wear out or go wrong in some way before this time, meaning that further surgery is required to repair or replace the joint.

This is known as revision surgery. It is estimated that around 1 in 10 people with an artificial hip will require revision surgery at a later date.

There have been recent cases of metal-on-metal (MoM) replacements wearing quicker than would be expected, causing deterioration in the bone and tissue around the hip. There are also concerns that they could leak traces of metal into the bloodstream.

Alternatives

There is an alternative type of surgery to hip replacement, known as hip resurfacing. This involves removing the damaged surfaces of the bones inside the hip joint and replacing them with a metal surface.

An advantage to this approach is that it removes less bone. However, it is usually only effective in younger adults who have relatively strong bones.

Resurfacing is much less popular now due to concerns about the metal surface causing damage to soft tissues around the hip.

Future developments

Hip replacement surgery is being improved in several ways:

  1. New, stronger materials for prosthetics are being developed that will allow longer wear and better joint mobility.
  2. Enhancements are being made to new "cementless" implants. Patients can be recommended for newer types of joints, such as ceramic-on-ceramic and ceramic-on-plastic.
  3. Computer-assisted surgery is being used to generate an image of the hip joint to allow greater precision.

Another area of research is looking at regenerating a hip joint by transfusing stem cells into damaged tissue. Stem cells are specialised cells that have a useful ability to help replenish other types of cells.

How common are hip replacements?

Hip replacements are a very common procedure.

In 2013, the NHS performed just over 66,000 hip procedures in England and Wales.

Worries over metal-on-metal implants

There have been cases of some metal-on-metal hip replacements wearing sooner than would be expected, causing deterioration in the bone and tissue around the hip. There are also concerns that they could leak traces of metal into the bloodstream.

The Medicines and Healthcare products Regulatory Agency (MHRA) has issued new guidelines that certain types of metal-on-metal (MoM) devices should be checked every year while the implant is in place. This is so that any potential complications can be picked up early.

If you are concerned about your hip replacement contact your GP or orthopaedic surgeon. They can give you a record of the type of hip replacement you have and tell you if any follow-up is required.

You should also see your doctor if you have:

  1. pain in the groin, hip or leg
  2. swelling at or near the hip joint
  3. a limp, or problems walking
  4. grinding or clunking from the hip

These symptoms do not necessarily mean that your device is failing, but they do need investigating.

Any changes in your general health should also be reported, including:

  1. chest pain or shortness of breath
  2. numbness, weakness, change in vision or hearing
  3. fatigue, feeling cold, weight gain
  4. change in urination habits

card Image

Dr. Vikas Chhabra

Dr. Vikas Chhabra is Specialist in General Surgery & have 22 Yrs Experience in General, Laproscopic, Endourology, Plastic & Laser Surgeries.

View More
card Image

Dr. Kiran Chhabra

Dr. Kiran Chhabra is famous Consultant of IVF, She is Specialist in Gynaecology & practicing Gynae, Obs & Infertility since 2003.

View More
card Image

Dr. Aman Chhabra

Dr. Aman Chhabra is famous Orthopedic Surgeon, He is Specialist in Ortho, Hand Surgery & Joint Replacement and have more than 15 Yrs Experience.

View More

Our TPA Partners

Chhabra Hospital & Test Tube Baby Centre Bathinda Chhabra Hospital & Test Tube Baby Centre Bathinda Chhabra Hospital & Test Tube Baby Centre Bathinda Chhabra Hospital & Test Tube Baby Centre Bathinda Chhabra Hospital & Test Tube Baby Centre Bathinda Chhabra Hospital & Test Tube Baby Centre Bathinda Chhabra Hospital & Test Tube Baby Centre Bathinda Chhabra Hospital & Test Tube Baby Centre Bathinda Chhabra Hospital & Test Tube Baby Centre Bathinda Chhabra Hospital & Test Tube Baby Centre Bathinda Chhabra Hospital & Test Tube Baby Centre Bathinda Chhabra Hospital & Test Tube Baby Centre Bathinda Chhabra Hospital & Test Tube Baby Centre Bathinda Chhabra Hospital & Test Tube Baby Centre Bathinda Chhabra Hospital & Test Tube Baby Centre Bathinda Chhabra Hospital & Test Tube Baby Centre Bathinda Chhabra Hospital & Test Tube Baby Centre Bathinda Chhabra Hospital & Test Tube Baby Centre Bathinda

Our Services


Test Tube Baby Centre
Operation Theatre
Ventilator
ICU
OPD
Ultrasound
Colour Doppler
Laboratory
Patient Rooms
Pharmacy
24 Hours Service

Location

Address


Chhabra Hospital &
Test Tube Baby Centre
Near Stadium,
80 Feet Road,
Bathinda (Punjab)
Pin: 151001


© 2022 Chhabra Hospital | All Rights Reserved
No. of Visitors : Website Hit Counter